
أعجوبة.. رجل يعيش 48 ساعة دون رئتين! والسبب؟
ملاحظة: النص المسموع ناتج عن نظام آلي
في تقرير نشر في مجلة "ميد"، شرح الجراحون بالتفصيل كيف استأصلوا رئتي رجل مصابتين بعدوى شديدة، وزرعوا له بعدها رئة مزدوجة...
وفي التفاصيل..
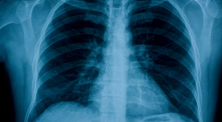
تمكن رجل يبلغ من العمر 33 عاما من البقاء على قيد الحياة لمدة 48 ساعة دون رئتين، قبل أن يخضع لعملية زرع رئة مزدوجة ناجحة.
وتفصيليا، أصيب الرجل بمتلازمة الضائقة التنفسية الحادة (ARDS)، بعد أن بدأت حالته بالإنفلونزا وتطورت بسرعة إلى التهاب رئوي بكتيري أدى إلى فشل رئوي، قلبي، وكلوي. ومع تدهور حالته، أصبح زرع الرئتين الخيار الوحيد لإنقاذ حياته، إلا أن جسده لم يكن مستقرا بما يكفي لإجراء العملية فورا.
في خطوة غير مسبوقة، طور الفريق الطبي نظام "رئة اصطناعية" يحل مؤقتا محل الرئتين. ويعمل هذا النظام على أكسجة الدم وإزالة ثاني أكسيد الكربون ودعم الدورة الدموية، ما يسمح للأعضاء الحيوية بمواصلة العمل حتى في غياب الرئتين.
اقرأ أيضا: ٱلسويد تستغني عن ٱلأجهزة ٱلإلكترونية في ٱلفصول ٱلدراسية بٱلمدارس.. وٱلسبب؟
وبعد استئصال الرئتين المتضررتين، بدأت حالة المريض تتحسن، واستقر ضغط دمه، وتم السيطرة على العدوى. وبعد يومين فقط، توفرت رئتان من متبرع، وأجرى الجراحون عملية زرع رئة مزدوجة بنجاح. واليوم، يعيش المريض حياة طبيعية مع وظائف رئوية سليمة بعد أكثر من عامين على العملية.
ويشير الجراح أنكيت بهارات، من جامعة نورث وسترن، إلى أن هذه التقنية قد تفتح آفاقا جديدة لإنقاذ حياة المرضى ذوي الحالات الحرجة أثناء انتظارهم لمتبرعين بالرئة، مؤكدا أن "في حالات تلف الرئة الشديد الناتج عن الفيروسات التنفسية أو العدوى، حتى في الحالات الحادة، قد تنقذ زراعة الرئة حياة المريض".