
الرجال أم النساء؟ من ينكمش دماغه أسرع مع التقدم في العمر؟
نشر :
منذ 6 أشهر| اخر تحديث :
منذ 6 أشهر||
اسم المحرر :
عنود الخريشا - دراسة تكشف: دماغ الرجال يتراجع أسرع من دماغ النساء مع التقدم في السن
- الدماغ بين الجنسين: لماذا ينكمش دماغ الرجال أسرع من النساء؟
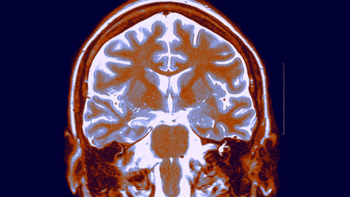
تتسارع بعض التغيرات في الدماغ مع التقدم في العمر، لكن من كان يظن أن دماغ الرجال ينكمش أسرع من دماغ النساء؟
كشف باحثون من جامعة أوسلو - University of Oslo في دراسة واسعة النطاق، حللت أكثر من 12,600 فحص بالرنين المغناطيسي لحوالي 4,700 شخص سليم تتراوح أعمارهم بين 17 و95 عاما، أن أدمغة الرجال تتراجع بشكل أسرع وأكثر وضوحا في مناطق محددة مقارنة بالنساء.

وأظهرت النتائج أن الرجال يفقدون حجم أدمغتهم بسرعة أكبر، خصوصا في المناطق المرتبطة بالذاكرة والحواس مثل اللمس والبصر.
ورغم أن هذه النتائج قد تبدو مفاجئة، خصوصا مع حقيقة أن النساء أكثر عرضة للإصابة بمرض الزهايمر بمعدل مرتين تقريبا، إلا أن الباحثين يوضحون أن سرعة انكماش الدماغ لا تفسر وحدها ارتفاع مخاطر الإصابة لدى النساء، بل يرتبط الأمر بعوامل أخرى مثل الهرمونات وغيرها.
